Cosmetic Dentures Edinburgh
Don't like the way your dentures look? You are not alone in this. Traditionally dentures have been the poor relative of cosmetic dentistry. Our team believes that a denture should not stop you from having a fabulous smile that you are proud of. A cosmetic denture gives you the confidence to flash a big cheesy grin without worrying that people might realise that your teeth are not your own. Using a host of techniques your denture can l look more lifelike and natural than ever before. Our aim is for you to be complimented on your smile not on your denture! Most of the techniques listed on this page are just as relevant for partial dentures as for full dentures.
Cosmetic dentures are custom designed by our Edinburgh team to give you the smile that you really want. They bring together our most experienced dentists and dental technicians to help you achieve a confident beautiful smile that you love.
The difference between a Cosmetic Denture and a regular Denture
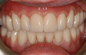
Older type denture teeth are often made of just a one or two layers of white acrylic. For this reason they can lack the translucency and vitality of natural teeth. The pink plastic that supports the teeth is usually all the same colour and pretty flat so that is you show any of this when you smile it is pretty clear that you are wearing a denture. Take a look at the photos below to see the difference between and "standard" denture on the left and a modern cosmetic denture on the right.
 
  
    The Cosmetic Denture Difference
- 
        The cosmetic denture uses multi layered teeth for a more natural and lifelike appearance 
- 
        The gums are shaped like a natural jaw would appear with bulged where the roots of the teeth would be 
- 
        The surface of the cosmetic denture is stippled just like healthy gum 
- 
        A whole range of shades are used to make the gums, if you flash a smile it just looks natural 
- 
        We can use the denture to increase support to some areas of the face; this can correct a "collapsed profile" 
- 
        We can rebuild the correct height of your bite which may reduce wrinkles or folds at the corners of your mouth 
To book a Free No Obligation Consultation to discuss your Denture Problems and how we might be able to help.
Just call our friendly reception team on 0131 669 2114 or request an appointment online


 
        			
  